Fakten zu Veneers
| Was sind Veneers? | hauchdünne Verblendschalen für Front- und Seitenzähne aus Keramik |
|---|---|
| Behandlungsdauer | ca. 20-30 Minuten pro Zahn |
| Haltbarkeit | i.d.R. ca. 20-40 Jahre |
| Kosten | je nach Art und Anzahl |
Sie haben verfärbte, nicht optimal gewachsene oder beschädigte Frontzähne und wünschen sich eine schnelle und minimalinvasive Lösung für ein schönes und ästhetisches Lächeln? Eine bewährte Möglichkeit bieten Veneers. Dabei handelt es sich um hauchdünne Verblendschalen aus hochwertiger Keramik, die wir mit einem Spezialkleber auf Ihre Zähne kleben. Sie kaschieren störende Makel und lassen Ihr Gebiss auch ohne Kronen, Zahnspange oder Bleaching lückenlos, gerade und strahlend weiß erscheinen. Vereinbaren Sie jetzt einen Termin für eine unverbindliche Beratung zur Behandlung mit Veneers in Frankfurt!
Erfahrungen unserer Patienten
Ihre Vorteile einer Behandlung mit Veneers in Frankfurt

- Ausführliche persönliche Beratung
- Individuelles Behandlungskonzept
- Zahnschonende Verfahren
- Hochwertige Materialien
- Natürliche Ergebnisse
Was versteht man unter Veneers?
Veneers sind hauchdünne Verblendschalen, die auf die Zähne gesetzt werden, um kleinere Schäden, Verfärbungen oder Fehlstellungen an den Zähnen zu verbergen. Die nur ca. 1 mm dünnen Schalen bestehen aus einem gut verträglichen keramischen Material, das in verschiedenen Farbnuancen verfügbar ist. Veneers werden individuell angefertigt, damit sie genau passen und natürlich wirken.
Für wen eignen sich Veneers?
Veneers bieten sich für Personen an, die ihre Zahnästhetik auf ebenso einfache wie effektive und natürliche Weise verbessern möchten. Sie eignen sich vor allem, um kleinere Zahnschäden oder -verfärbungen zu kaschieren, auch leichte Zahnfehlstellungen lassen sich mit Veneers sehr gut korrigieren.
Voraussetzung hierfür ist, dass keine Zahnerkrankungen (z. B. Karies oder Wurzelentzündungen) vorliegen. Diese müssten zuerst behandelt bzw. mit einer Krone versorgt werden, bevor Veneers angebracht werden können. Zähneknirschen oder Fingernägel kauen kann die Haltbarkeit der Verblendschalen negativ beeinträchtigen, hier bieten sich eventuell andere Behandlungsmethoden eher an. Lassen Sie sich hierzu in einem persönlichen Gespräch in unserer Praxis in Frankfurt beraten.
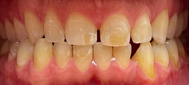
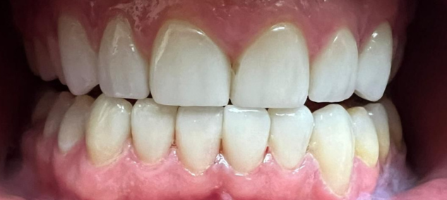
Vorher-Nachher Fotos einer Behandlung mit Veneers in Frankfurt
Der Patient erhielt eine Versorgung mit Veneers für die komplette Oberkiefer- und Unterkieferfront.
Die Patientin erhielt eine Versorgung mit Veneers für die komplette Oberkieferfront.
Wie verläuft die Behandlung mit Veneers in Frankfurt?
Die Behandlung mit Veneers beginnt mit einer gründlichen Reinigung der Zähne in unserer Praxis. Danach wird der Zahnschmelz behutsam leicht abgeschliffen und dann ein Abdruck genommen. Dieser dient als Grundlage für die Veneers, die im Zahnlabor individuell hergestellt werden, sodass sie perfekt passen. Bis dahin erhalten Sie Kunststoff-Provisorien, die wir nach einigen Tagen durch echte Veneers ersetzen. Sobald letztere fertiggestellt sind, können sie auf den Zähnen angebracht werden. Hierzu verwenden wir einen zahnschonenden Spezialkleber, der dafür sorgt, dass die Verblendschalen sicher und dauerhaft an den Zähnen sitzen.
Was sollte nach der Behandlung mit Veneers in Frankfurt beachtet werden?
Nach der Behandlung achten Sie bitte auf eine gründliche Zahnhygiene, zu der sowohl die sorgfältige häusliche Zahnpflege als auch eine regelmäßige professionelle Zahnreinigung gehört. Darüber hinaus sollten Sie auf stark färbende Lebensmittel (z. B. Rotwein, Blaubeeren) und sehr harte Lebensmittel (z. B. harte Bonbons, Nüsse) möglichst verzichten. Wichtig: Durch Zähneknirschen können die Veneers beschädigt werden. Informieren Sie uns deshalb bitte, falls Sie im Laufe der Zeit beginnen, mit den Zähnen zu knirschen, damit wir geeignete Gegenmaßnahmen treffen können.
Wie lange halten Veneers?
Veneers haben eine lange Lebensdauer. Bei einer optimalen Mundhygiene, bestehend aus häuslicher Zahnpflege und professioneller Zahnreinigung, halten Veneers in der Regel etwa 10 bis 20 Jahre oder länger.
Wie viel kosten Veneers in Frankfurt?
Das lässt sich pauschal nicht beantworten, da die Kosten von dem Behandlungsumfang bzw. der Art und Anzahl der Veneers abhängen. Für Ihre finanzielle Planung erhalten Sie aber selbstverständlich ein individuelles Angebot für Ihre Behandlung, das auch einen Kostenvoranschlag enthält.
Häufig gestellte Fragen: Veneers in Frankfurt
Muss man bei einer Behandlung mit Veneers in Frankfurt mit Schmerzen rechnen?
Nein, in der Regel erfolgt die Anbringung der Veneers ohne Schmerzen, eine Narkose ist hierfür nicht nötig. Da für die Anbringung etwas Zahnsubstanz abgeschliffen werden muss, ist es möglich, den betroffenen Bereich vorher lokal zu betäuben. Auf Wunsch ist auch eine Lachgas-Sedierung möglich.
Werden die Zähne bei einer Behandlung mit Veneers in Frankfurt angeschliffen?
Ja, das ist nötig, damit die Zähne mit den aufgesetzten Verblendschalen nachher nicht zu dick und damit unnatürlich aussehen. Wie viel Zahnsubstanz abgeschliffen wird, ist von verschiedenen Faktoren (Zahndicke, -fehlstellung und Grad der Verfärbung) abhängig und daher individuell sehr unterschiedlich.
Wie lange dauert die Versorgung mit Veneers in Frankfurt?
Für die Versorgung mit Veneers sind in der Regel drei Termine nötig: Bei dem ersten Termin wird die Behandlung vorbereitet und geplant, hierzu gehört neben der persönlichen Beratung auch die Abdrucknahme und Farbwahl, was ca. 30-60 Minuten in Anspruch nimmt. Am zweiten Termin werden die Zähne leicht angeschliffen und der Abdruck für das Dentallabor erstellt, das die Veneers dann individuell anfertigt. Bei dem dritten Termin erfolgen die Anpassung und das Anbringen der Veneers auf den Zähnen, was etwa 20-30 Minuten pro Zahn dauert.
Können Veneers trotz Kronen oder Brücken angebracht werden?
Ja, das ist möglich. Voraussetzung hierfür ist, dass die Kronen oder Brücken keine Schäden aufweisen.
Gibt es Risiken bei einer Behandlung mit Veneers?
Die Verwendung und Anbringung von Veneers ist mit wenig Risiken verbunden. Da die Verblendschalen aus einem biokompatiblen keramischen Material hergestellt werden, sind sie sehr gut verträglich und allergische Reaktionen nahezu ausgeschlossen. Bei einer präzisen individuellen Anpassung und einer fachgerechten Anbringung, die in unserer Praxis in Frankfurt natürlich nach strengsten Hygienerichtlinien erfolgt, bleibt das Risiko für Nebenwirkungen wie zum Beispiel Entzündungen gering.
Können die Verblendschalen verfärben?
Nein, eine Verfärbung des keramischen Materials ist so gut wie ausgeschlossen. Um sichtbare Ablagerungen zu vermeiden, die das ästhetische Zahnbild beeinträchtigen können, müssen Sie selbstverständlich auf eine sehr gute Zahn- und Mundhygiene achten und zur Unterstützung regelmäßig eine professionelle Zahnreinigung durchführen lassen. Darüber hinaus sollten Sie nicht rauchen und stark färbende Lebensmittel möglichst vermeiden.

Geprüft durch Dr. med. dent. Salan Thormeyer
Die Inhalte dieser Seite wurden von Dr. med. dent. Salan Thormeyer persönlich geprüft und entsprechen höchsten zahnmedizinischen Qualitätsstandards.
Frau Dr. Thormeyer ist spezialisiert auf ästhetische Zahnmedizin sowie ästhetische Gesichtsbehandlungen. Dank ihrer Doppelapprobation zählt sie zu den wenigen Expertinnen in Deutschland, die Zahnmedizin und ästhetische Medizin ganzheitlich unter einem Dach vereinen.
Kontakt
dental island
Ihre Zahnarztpraxis in Frankfurt
Schillerstrasse 28
60313 Frankfurt am Main
069 989 390 57
hello@dental-island.de
Sprechzeiten der Praxis
Montag: 12:00–19:00
Dienstag: 08:00–15:00
Mittwoch: 12:00–19:00
Donnerstag: 08:00–15:00
Freitag: 08:00–14:00
Terminvereinbarung
Wir freuen uns, Sie in unserer Zahnarztpraxis in Frankfurt begrüßen zu dürfen.
Zur Terminvereinbarung rufen Sie an oder vereinbaren Sie direkt online einen Termin:











